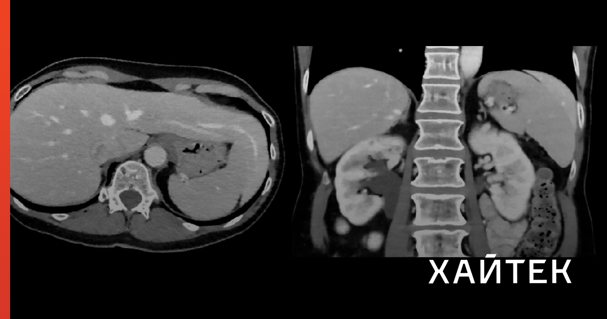
Печень может работать более 100 лет: ученые рассказали, как это возможно

Печень может работать более 100 лет: ученые рассказали, как это возможно