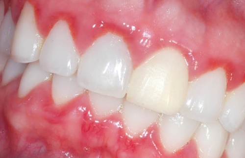
Хлорофиллипт в стоматологии — для полоскания при воспалении десен

Хлорофиллипт в стоматологии — для полоскания при воспалении десен